Monday, December 29, 2008

Case of the Week 51

The following is a "squash prep" of muscle tissue submitted from a Peruvian man with muscle aches and diffuse swelling. The coiled objects measure approximately 18 microns across. Identification? (CLICK ON IMAGES TO ENLARGE)

Sunday, December 28, 2008

Answer to Case 51

Answer: Trichinella spp. larvae
Congratulations to Chris, Sue, Anonymous, and the UVM resident who wrote in with the correct answer. This is a beautiful example of Trichinella larvae in skeletal muscle. Unlike the 2-dimensional histologic section, the squash preparation allows you to visualize the 3-dimensional nature of the larva in the muscle nurse cell. To faciliate this type of preparation, you can either press the muscle between 2 glass slides, or use a specially designed instrument - the Trichinelloscope. There is also artifical enzymatic digestion and PCR, both which can be used to identify Trichinella sp. from muscle biopsies.

Monday, December 22, 2008

Case of the Week 50

Happy Holidays!
Can you guess who's in the hat?

Sunday, December 21, 2008

Answer to Case 50

Thank you all for entertaining answers! The top 2 are:
Ancylosantus nicholas
and
Ancylostoma duodenale, going to a Christmas party

Happy Holidays!
And Happy 50th Case of the Week Anniversary!

Monday, December 15, 2008

Case of the Week 49

The following object was identified in the feces of a 30 year old immigrant from Mexico.
Upon manipulation, the following was extracted. Identification?

Answer to Case 49

Answer: Taenia proglottid (fragment) and egg.

This case demonstrates that not all specimens are picture-perfect. Only a portion of a proglottid is present and the egg obtained is partly obscured. However, the outer radial striations and inner hooklets are visible, allowing definitive diagnosis.

Monday, December 8, 2008

Case of the Week 48

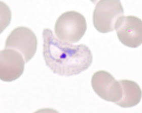
A patient has recurrent fevers after returning from 'Adventure travel' in Africa. He claims to have received all of his pre-travel vaccinations and took his malaria prophylaxis regularly while there. A peripheral blood smear shows the following. Identification? Be as specific as possible.

Sunday, December 7, 2008

Answer to Case 48

Congratulations to Heather! She accurately identified this organism as Plasmodium vivax, based on the following features:

"amoeboid organisms; Schuffner's dots; 1 1/2-2X enlarged RBCs; light, "lacy" lavendar-colored organisms".

Great description. Based on the enlarged red blood cell and the stippling, your differential diagnosis would be P. ovale. However, this species produces trophozoites that are not amoeboid and much more compact. If you're 'lucky', RBCs infected with P. ovale are also ovoid with fimbriated edges, although this is only seen in a minority of infected cells.

Monday, December 1, 2008

Case of the Week 47

The following worm was unexpectedly identified in a duodenal washing. It is approximately 200 microns in length. From this video, what organism would you suspect?

Answer to Case 47

Answer: Strongyloides stercoralis
This was a challenging case. The way I would approach identification is as follows. First, you want to know what general category you would place this worm; for example, is it a cestode, nematode, or trematode. You can tell from the video that it's a nematode (round worm). Next, I would formulate a differential diagnosis based on it's size and location (small bowel). This would place Strongyloides at the top of your list, although you would want to do a permanent mount of the worm to confirm it's identity.