Answer: As stated very nicely by MicrobeMan, "This is...a case of enterobiasis (
Enterobius vermicularis). Some diagnostic features which are nicely demonstrated in the appendix cross-sections include alae, intestines, ovaries, and the hard-to-mistake eggs (which I think look like little loaves of bread). Perhaps treatment with a benzimidazole drug or pyrantel pamoate is indicated in this case. Also, prophylactic treatment of close contacts might be warranted, since this poor fellow is a probably a nidus of infection for countless others with whom he physically interacts on a daily basis."
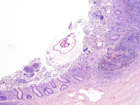
Note that there is a granuloma and several pinworms within the actual wall of the appendix:

Pinworms can be identified in cross-section by their characteristic lateral alae (arrows, below), and the presence of the eggs in gravid females.

MicrobeMan also asks:
So, what's the scoop with
Enterobius gregorii? Real or fiction?
Well, that's a good question. There are only scattered reports in the literature of this second
Enterobius species - most over 10 years old. According to the CDC DPDx web page, "A second species,
Enterobius gregorii, has been described and reported from Europe, Africa, and Asia. For all practical purposes, the morphology, life cycle, clinical presentation, and treatment of
E. gregorii is identical to
E. vermicularis." However, I notice that there is no other reference to this parasite on the web site. So I think for now, we will need to wait for further information to further evaluate the possibility of a second parasitic species.