Tuesday, August 21, 2012

Case of the Week 221

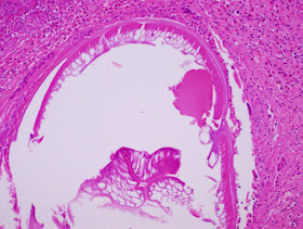
The following was seen in resected periumbilical skin nodule from a 60 year old male. 
(CLICK ON IMAGES TO ENLARGE)

(20x original magnification, H&E)

(40x original magnification, H&E)

(200x original magnification, H&E)

(400x original magnification, H&E) 
  
(200x original magnification, H&E) 
Diagnosis?

2 comments:

  1. Morphology suggestive of either myiasis or larva migrans, unable to further identify.

    Florida fan

    ReplyDelete
  2. Onchocera volvulus

    ReplyDelete