Shown here are cross-sections of adult pinworms surrounded by neutrophilic inflammation in the wall of the colon. This is an unusual, but well-documented manifestation of pinworm infection. Typically, the adult worms do not penetrate the intestinal wall; the males pass out with the feces after maturation, while the females remain in the cecum and travel to the anus at night to lay eggs on the perianal skin. However, adult worms and eggs can occasionally get trapped in the intestinal mucosa and cause a suppurative or granulomatous reaction.
The diagnostic features include the adult nematode structures (cuticle, gut, musculature) and the classic lateral alae (spines) that are present at all levels of the body (see below). E. vermicularis is the only ADULT nematode the infects humans to have lateral alae. Of note, several larval nematodes also have lateral alae, but lack the size and well-defined structures of the adults.
.jpg)
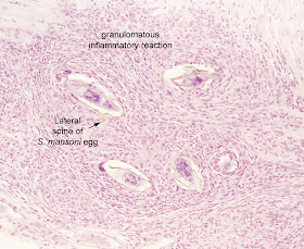
Congratulations to all the viewers who got this one correct! Also, special thanks to S.C. who raised an important differential diagnosis for this case: the eggs of Schistosoma mansoni. These eggs can appear as oval, round or elongated in cross-section, and are often seen in the submucosa of the large intestine, surrounded by a granulomatous host reaction. Not that the thin eggs shell walls are typically wrinkled or collapsed (see image below). The eggs are also much smaller (>100 microns in length) than the 20 to 50 mm cross-section diameter pinworm adults. Finally, the spine on a S. mansoni egg is singular and lateral, rather than bilateral. The image below shows a classic example of the lateral spine. (CLICK ON IMAGE TO ENLARGE)
No comments:
Post a Comment