Sunday, September 25, 2016

Case of the Week 415

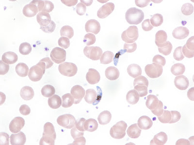
This week's case is that of an elderly female with recent travel to a malaria-endemic area in South America. To evaluate the patient for malaria, venous blood was collected in tubes containing EDTA and thick and thin blood films were made immediately at the local hospital laboratory. These slides were stained and sent to my laboratory for examination, in addition to a tube of blood. Below are representative fields from those slides (images courtesy of Emily F.):

Two days later, we used the blood to make additional slides for teaching purposes. However, review of the new slides now revealed different forms than what was initially seen:
Thick film:
Thin Film:





What is the likely cause of these different forms?

Saturday, September 24, 2016

Answer to Case 415

Answer: P. falciparum gametocytes with altered morphology due to prolonged storage in EDTA.

Careful review of the original slides revealed only P. falciparum parasites, and PCR testing for the 5 most commonly detected Plasmodium species revealed only P. falciparum DNA.

Also note that there are some hints that the rounded gametocytes are actually the same as the crescent/elliptical ones. Look at the image below which shows both forms. They are very similiar in appearance, despite the differences in overall shape. Therefore, you can see that a spectrum of morphologic changes occur overtime, with some gametocytes appearing more elliptical rather than round/oval.

This is an important pitfall that parasitologists need to be familiar with, and a good reminder for why blood smears need to be made as soon as possible after obtaining blood. Not only do the crescent-shaped gametocytes of P. falciparum tend to round up and look like gametocytes of P. falciparum with prolonged exposure to EDTA, but other changes can occur such as formation of 'applique' forms with P. vivax, maturation of gametocytes, exflagellation of microgametes, and rarely, formation of ookinetes (from fertilization of a macrogamete by a microgamete).

Thank you for all of the excellent comments!


Sunday, September 18, 2016

Case of the Week 414

This week's case was generously donated by Dr. Kara Levinson and Dr. Peter Gilligan. The specimen is a peri-anal collection from a young girl using a Swube device. The objects shown measure approximately 60 microns in greatest dimension. Identification?




Saturday, September 17, 2016

Answer to Case 414

Answer:  Enterobius vermicularis (pinworm) eggs.

These eggs can be easily identified by their characteristic morphology. They are oblong, measuring 50-60 long by 20-30 micrometers wide, colorless with a moderately-thick clear shell, and have a classically asymmetric shape around the long axis, with conspicuous flattening on one side:

The eggs mature within 4-6 hours of being laid, and therefore, larvae are commonly seen within the eggs (as in this case).

Thanks again to Dr. Levinson and Dr. Gilligan for donating this classic example of pinworm infection.

Monday, September 12, 2016

Case of the Week 413

Greetings from China! This week's lovely case is from Dr. Valerie Ng, from USCF. The following images are from a stool Gram stain.



Identification?

Sunday, September 11, 2016

Answer to Case 413

Answer: Giardia duodenalis, aka G. lamblia, G. intestinalis

This uncommon preparation of a common parasite nicely demonstrates how the morphologic features remain apparent despite the unfamiliar stain. As you can see from the images, Giardia trophozoites are mostly Gram negative, with visible nuclei and flagella.

Tuesday, September 6, 2016

Case of the Week 412

The week's case was generously donated by Dr. Audrey Schuetz from Mayo Clinic and Dr. Roy King of Dermatopathology Partners.

The patient is a 70 year old woman with a painful lesion on the side of her foot. She also had a similar lesion on the tip of one of her toes. She had recently returned from Brazil, where she had been for 1 month. The lesions appeared approximately 2.5 weeks into her visit and were preceded by pruritus. She reports walking barefoot on the beaches while in Brazil.


 Below are H&E-stained sections of the curetted lesions:

Diagnosis?

Sunday, September 4, 2016

Answer to Case 412

Answer: tungiasis, due to the "chigoe" flea, Tunga penetrans

Arthur V gave us a great description, pointing out the trachae (T), eggs, and striated muscle (M). A portion of the stratum corneum of the epidermis (E) can also be seen. The cuticle of the flea lies right below this.


Tunga penetrans female fleas embed in the epidemis where they feed and produce eggs. The posterior of the flea sticks out from the skin, allowing the eggs to be released (if you squeeze the lesion, you may be able to express the eggs). Humans usually become infected by walking barefoot on the beach in tropical and subtropical areas. Therefore, the history of this case (walking barefoot on the beach in Brazil) is classic.