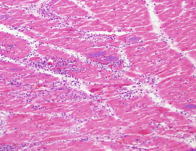
A 50 year old male from South America died suddenly and an autopsy was performed. show are hematoxylin and eosin stained tissue sections of myocardium (heart muscle). Diagnosis? (CLICK ON IMAGES TO ENLARGE)
Every week I will post a new Case, along with the answer to the previous case. Please feel free to write in with your answers, comments, and questions. Also check out my image archive website at http://parasitewonders.com. Enjoy!
The Fine Print: Please note that all opinions expressed here are mine and not my employer. Information provided is for educational purposes only. It is not intended as and does not substitute for medical advice. I do not accept medical consults from patients.
4 comments:
T.Cruzi. JH, VT
Yep I'll agree T cruzi amasatagotes; the aetiological agent of Chagas Disease.
T. cruzi also. BW in Vt
T. cruzi amastigotes.
Post a Comment