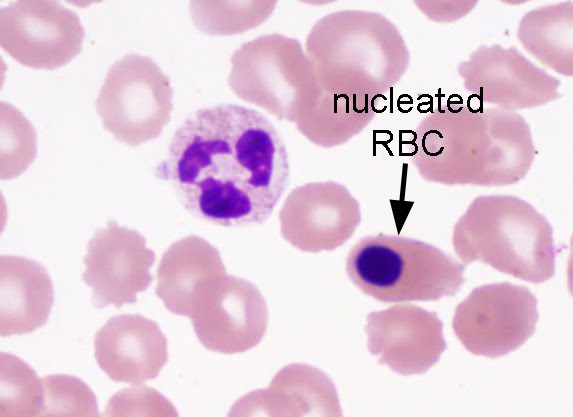
Great job everyone! Several respondents rightly raise the question of asplenia, given the Howell-Jolly bodies (nuclear remnants), nucleated RBCs, and RBC polymorphism with echinocytes (wrinkled RBCs with multiple spicules radiating from its circumference, resembling a sea urchin). These are common findings in a patient that does not have a functional spleen, since the spleen is responsible for removing RBCs that have not fully extruded their nucleus prior to entering the peripheral blood. We found out that this patient does NOT have a spleen which would explain the findings on this film.

This is a great example of a 'complicated' peripheral blood smear, in which
the exclusion of malaria or babesiosis can be quite difficult. The presence of Howell-Jolly does not exclude the presence of a blood parasite, so it is still important to examine these smears carefully. Anonymous raises the good point that PCR for malaria and babesiosis may be helpful when either of these infections are suspected. In this case, there was no evidence of blood parasites seen on thick and thin films, so we did not pursue PCR.
Other types of RBC "inclusions" include pappenheimer bodies (iron granules) and stain precipitate.
Finally, Anonymous mentions that the "tiny intraerythrocytic inclusions may be bacterial, like Bartonella. B. bacilliformis is the only one that's supposed to show up on peripheral smear, but no epidemiologic history to fit." This is a good thought, although as mentioned, it does not fit clinically. I would also expect the inclusions of B. bacilliformis to be more numerous and smaller than what is shown here.


No comments:
Post a Comment