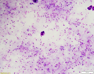
This week's impressive case was generously donated by Dr. Ryan Relich. The following was seen in Giemsa-stained thick and thin blood films (1000x) from a middle aged immunocompromised male with recent travel to Niger. Diagnosis?
Monday, February 20, 2023
Subscribe to:
Post Comments (Atom)




 
 
 


13 comments:
Acute P.falciparum with a gametocyte.
Did the patient survive?
Wow, such a heavy infection. The infected red cells are of all sizes, this shows that there’s no predilection either for young red cells nor older red cells. As such we can rule out P. vivax, ovale and malariae. The multiple infection with double rings, appliqué forms, head phones orient us further into an identification of P. falciparum. The lone banana shape gametocyte further confirms P. falciparum being the causative agent. There is no morphology forms to complicate a possible monkey malaria.
With such a high parasitemia this case is serious cause to emphasize the urgency that all malaria testing are to be a stat test 24/7.
Florida Fan
Wow! That's a lot of extacellular organism!
Heavy parasitemia with ring forms trophozoites. and also a typical plasmodium falciparum gametocyte.
Un bellissimo Plasmodium falciparum!
Sir Galahad
Plasmodium falciparum
Plasmodium falciparum! As a student and employee, don't get to see these often so it is nice to come across this and that I can distinguish it out!!
Looks like Plasmodium falciparum with very heavy parasitaemia. I was almost thinking that schizonts would also be seen as a result! Thank you for sharing this
LS
Thank you for sharing both thick and thin preps. Most images I have seen are only the thin smears. What method of lysis is used nowadays on thick preps?
Hi Anonymous,
The most commonly used method of lysis for the thick film is to place the dried film in a hypotonic solution (e.g., malaria buffer). The water from the solution rushes into the RBCs and causes them to burst. Another, less commonly used, method is to freeze the blood to cause its lysis. I've never tried that method myself, but perhaps someone on the blog can share some information on it.
thanks for writing!
Bobbi
Hi Anonymous,
The recommendation from the CDC site suggests to make two thick and two thin smears, each on its own slide. All smears are air dried. Only the thin smears are fixed with methanol and air dried. In my former lab, we made three each since every positive case has to be forwarded by the state laboratory together with its EDTA blood. In not so wealthy countries, we make both thin and thick smear on the same slide, air dry the smears and fix only the thin smear portion with methanol. After fixation and drying, the entire slide is immersed in working Giemsa stain solution. As explained by Dr. Pritt, the buffer being hypotonic will lyse the cells. This will stain and achieve cells lysis simultaneously. The smears are rinsed by gentle dipping in and out with the buffer two or three times and air dried before examination. Best of luck.
Florida Fan
Affected RBCs are the same sizes of normal RBC. Ring trophozoites are visible... P. falciparum :)
Bangladeshi Fan
Ring form trophozoite of Plasmodium falciparum. There was also one gametocytes
Post a Comment