This week's interesting case was donated by Dr. Hugh Mortan and Jodie Smith. They noted the following object in a Gram-stained bronchial lavage specimen. What is your diagnosis?
Monday, July 29, 2024
Sunday, July 28, 2024
Answer to Case 753
Answer to the Parasite Case of the Week 753: Not a parasite; Curshmann spirals.
As noted by several of my readers, Curshmann spirals are spiral-shaped mucus plugs from subepithelial mucous gland ducts of bronchi that occur in a variety of diseases including asthma and bronchitis.
As I always say about mimics - it's not so important that you know the name of the mimic, as long as you recognize it is not a parasite!
Florida Fan has a really good saying to help with this differentiation: "No head, no tail, no entrails, most likely no parasite”.
Thanks again to Dr. Hugh Mortan and Jodie Smith for donating this great case!
Wednesday, July 17, 2024
Case of the Week 752
Tuesday, July 16, 2024
Answer to Case 752
Answer to the Parasite Case of the Week 752: Botfly larva, likely Cuterebra species.
Thanks to Michele Calatri, Kate Geralt, Pablo David Jimenez Castro, Christina, and Josué Campos Camacho who wrote in with this answer. Cuterebra infection is not very common in humans but are known to occur occasionally. Unfortunately, we don't have the posterior spiracles to confirm the genus, and we don't have any further history about the patient. The good news is that the larva has been removed, which is curative.
This is how the larvae appear in their natural host:
Creepy Dreadful Wonderful Parasites: Case of the Week 130 (parasitewonders.blogspot.com
Sunday, July 7, 2024
Case of the Week 751
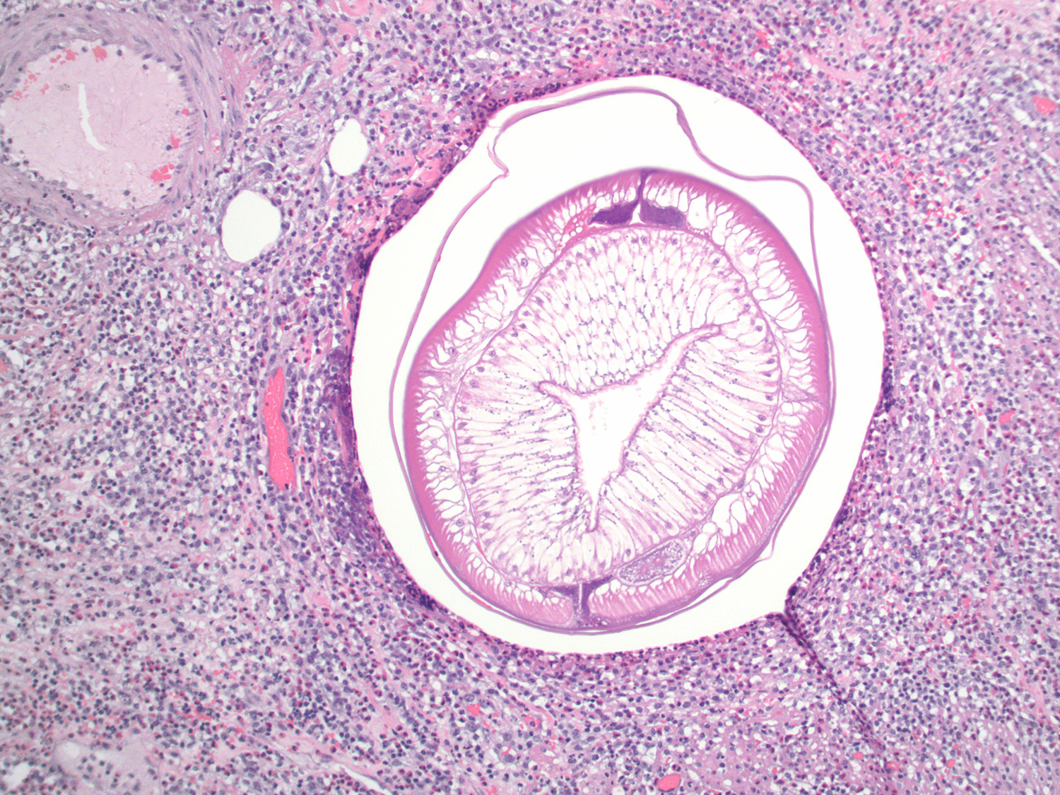
This week's case was generously donated by Dr. Karra Jones. A patient presented with intestinal intussusception, and the following was seen on histopathologic examination of the resected bowel. What is your diagnosis?
10x objective:
Saturday, July 6, 2024
Answer to Case 751
Answer to the Parasite Case of the Week 751: Anisakis species.
Thanks to all who provided comments on this case! Idzi kicked us off with his comment: "The Y-shaped lateral chords tell me that this is patient has eaten raw (or undercooked) fish! 😉". Florida Fan then elaborated, "The cross sections tell us that this is a nematode. From online publications and Idzi's comment, the very tall musculature and Y-shaped lateral chords favor a diagnosis of anisakiasis."
Here is an annotated image showing some of the key features:












