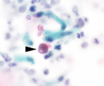
The following structures were seen on a bronchial brush specimen from an 83 year old male with a chronic cough. The structures were moving when seen in a wet prep, and there was concern from the endoscopist that these were parasites. The following photos are from the corresponding Papanicalaou stained cytology specimen.
Identification?
Monday, November 25, 2013
Subscribe to:
Post Comments (Atom)










9 comments:
Cilliated Epithelial Cells?
Lee
Cilliocytophthoria.
Microscopic parasitic jellyfish? Just kidding. Looks like a nice case of ciliocytophthoria. We see this in our BAL's every now and then.
-BHS
Probaby, a few degenerating ciliated respiratory epithelial cells with attached tufts as well.
-BHS
Ciliocytophthoria. Is there an explanation for the unusual spelling?
Ciliated epithelial cells of the respiratory tract. Considering how many things we breath in daily, it is quite marvelous they sweep them out more efficiently we can imagine.
Florida Fan
I want to know more about this. This is awesome and interesting. Are these things we breathe in?
Thanks but i read more from your answers i found. this is my first time to this blog. thanks it's great
May be a Lophomonas blattarum
Post a Comment