Tuesday, June 16, 2015

Case of the Week 353

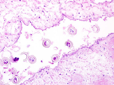
This week's case was generously donated by Bryan Schmitt and Stephanie Kinney at Indiana University. Several specimens measuring approximately 1 cm in length were obtained during routine colonoscopy on a hispanic woman in her 50's; they were mistaken as colon polyps and submitted for histopathology. Identification?

H&E, 20x
H&E, 400x








4 comments:

Anonymous said...

I vote tapeworm and t saginata or beef as an awful lot of branches to the uterus.

Anonymous said...

The striated outer shell is consistent with that of Toenia species ova.
The lateral genital pore and the more than 13 uteral branches is compatible with T. Saginata.
Recently there has been a mentioning of T. asiatica, would anybody elaborate on this species? Many thanks,

Florida Fan

Unknown said...

Certainly Taenia sp. due to gross morphology and ova morphology. Taenia saginata would be my best diagnosis due to the number of uteral branches.

However, Florida Fan mentions T.asiatica as a potential diagnosis, this is a possibility as the proglottids are practically indistinguishable from that of T.sagniata, however to my knowledge there has been no case of T.asiatica outside Asia due to the infection route being dependant on culinary habits which are less common outside Asia; the consumption of raw pig liver, for example, is considered the most likely route of infection.

Unknown said...

Great case w amazing pics. Thanks
Taenia Saginata fíe me