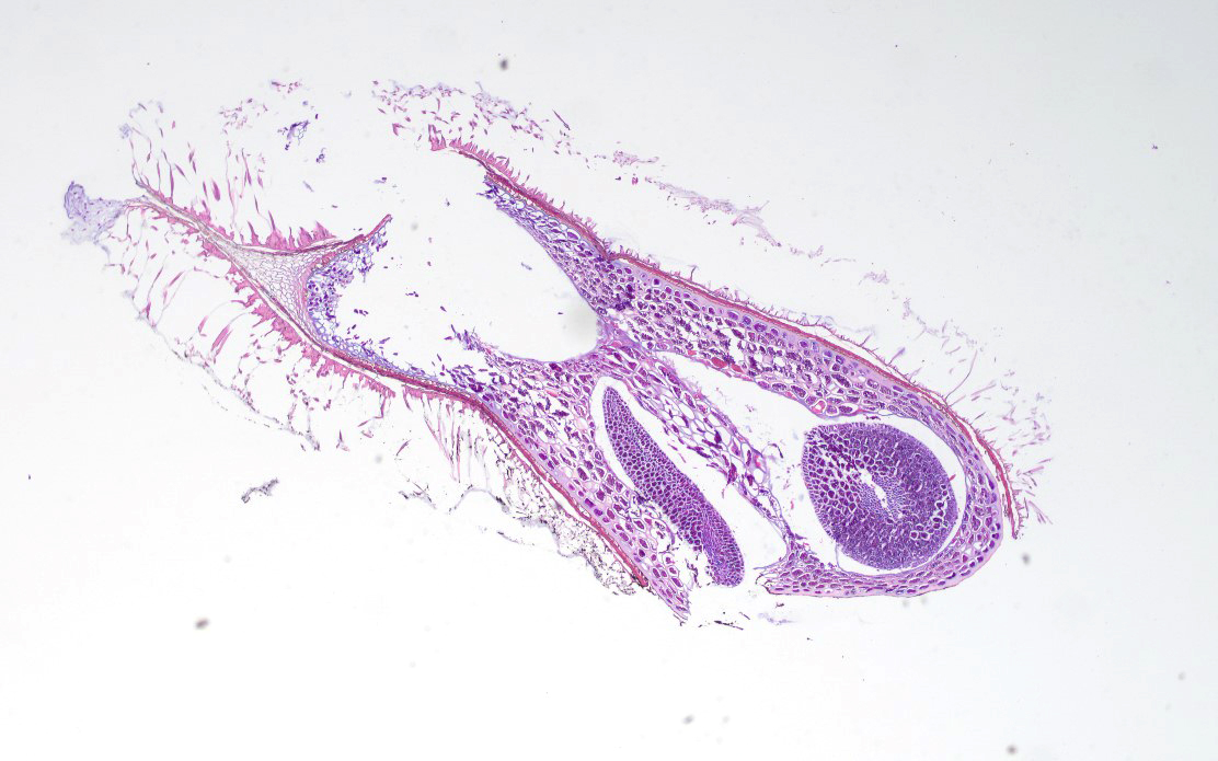
This week's case was generously donated from Drs. Cynthia Magro and Lars Westblade. The following object was identified in an hematoxylin and eosin stained tissue section of toenail in a patient with onychomycosis. Identification?
Tuesday, May 11, 2021
Subscribe to:
Post Comments (Atom)


 
 
 


2 comments:
Looks like plant material. Possibly a seed showing embryo and endosperm. Point of interest, Foxtail grass seeds are known to commonly penetrate tissue of dogs to become foreign bodies.
Vegetali: Endosperma + embrione
Post a Comment